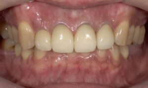
術後 21|12をオールセラミック冠で補綴

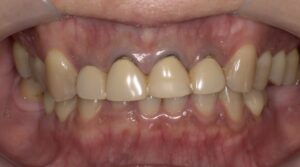
術前

Dr.解説

こちらの患者様は「前歯を被せ直してきれいにしたい」との主訴で来院されました。

21|12に保険の樹脂の冠が装着されており、樹脂の部分もやや劣化し、1|12の生え際が黒ずんでいました。

改善策として、21|12の冠を形の整ったオールセラミック冠で被せ直しをすることにしました。

既存の冠を除去し、仮歯を装着し、患者様の要望を聞きつつ形態や傾きを修正し、最後は白めの色調でオールセラミック冠を被せました。