最新の症例を5件ご紹介しています。その他治療別の症例はコチラからご覧下さい
Dr.解説 こちらの患者様は「前歯を被せ直してきれいにしたい」との主訴で来院されました。 21|12に保険の樹脂の冠が装着されており、樹脂の部分もやや劣化し、1|12の生え際が黒ずんでいました。 改善策とし […]続きを見る
Dr.解説 1|1の変色が気になるとの事で来院されました。 1|1は元々神経をとっている歯でしたが、再度神経の部屋の掃除をしてから、オールセラミック冠で被せました。 |1はやや捻転していましたが、形態も整えた上で、色 […]続きを見る
術前 術後 Dr.解説 他院にて上前歯1|1の被せものや|2の充填の治療を終えた後に来院されましたが、見た目が良くないと不満を訴えていらっしゃいました。 審査したところ、上の前歯は6本中5本まで神経を取った歯である事もあ […]続きを見る
Dr.解説 上の前歯の黄ばみを改善したいと相談を受けました。 術前では保険の樹脂の被せものが4本入っており 相談を受けた件に関しては 表面の汚れではなく樹脂の材質自体の黄ばみなので 新しく被せ直さないと歯の色は白くならな […]続きを見る
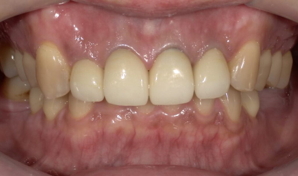
Dr.解説 右上の犬歯が黒くなっているのと、樹脂の偽歯茎のついた4本ブリッジを嫌い、 何とか綺麗にしたいと相談に来られました。 結局、前歯6本のメタルセラミックブリッジで回復させました。 術後 […]続きを見る


医院理念
院内ツアー
ドクター紹介
症例紹介















